Японский энцефалит
Эпидемиология японского энцефалита
Японский энцефалит (ЯЭ) - флавивирус, передаваемый комарами Culex, является наиболее распространенной причиной вакциноуправляемого энцефалита в Азии и является эндемическим заболеванием в 24 странах Юго-Восточной Азии и Западной части Тихого океана. Летальность превышает 30%, а у выживших часто остается нейропсихологическая инвалидность. Ежегодно диагностируют приблизительно 50000 случаев японского энцефалита и примерно 15000 случаев смерти. Инфекция распространена у детей, живущих в эндемичных регионах, но путешественники всех возрастов также находятся в группе риска. В тропиках и субтропиках передача происходит круглогодично.
Жизненный цикл, экология и виды
Основными хозяевами среди животных являются водоплавающие птицы и свиньи. Комар Culex заражается вирусом и передает его человеку при укусе.

Клинические проявления
Клиническое заболевание развивается менее чем у 1% инфицированных людей. Инкубационный период составляет от 5 до 15 дней, начальные симптомы включают лихорадку, головную боль и рвоту. Классическое описание японского энцефалита - паркинсонизм с маскообразным лицом, тремором, ригидностью по типу зубчатого колеса и хореоатетоидными движениями. Другие неврологические проявления включают менингоэнцефалит, острый вялый паралич и паралич черепномозговых нервов. У детей нередки судороги.
Диагностика
Клиническая картина и проживание в эндемичных районах или недавние поездки в эндемичные регионы должны вызывать подозрения в отношении японского энцефалита. В спинномозговой жидкости обычно обнаруживается лимфоцитарный плеоцитоз.

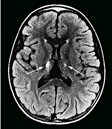
На МРТ специфическое поражение таламуса при японском энцефалите
Специфический ELISA для выявления IgM в сыворотке крови или спинномозговой жидкости может подтвердить инфекцию. Для подтверждения инфекции и дифференцировки между другими близкородственными флавивирусами (такими как вирус лихорадки денге и вирус лихорадки Западного Нила. Подробнее о поражении нервной системы при лихорадке Западного Нила читайте здесь) выполняют реакцию нейтрализации бляшкообразования. При нейровизуализации могут быть видны характерные двусторонние кровоизлияния в таламус.
Лечение
Специфического лечения японского энцефалита нет, поэтому основой терапии является симптоматическое лечение. Тяжелые случаи требуют госпитализации, которая может улучшить показатели выживаемости благодаря инфузионной терапии, респираторной поддержки, обезболивания, мониторинга и лечения судорогам. У путешественников, посещающих эндемичные регионы, которые либо будут путешествовать в течение длительного времени, либо будут выезжать за пределами городских районов чаще всего используется инактивированная вакцина, полученная в культуре клеток Веро. Живая аттенуированная вакцина SA 14–14–2 наиболее часто используется в эндемичных регионах. В остальных случаях необходим контроль переносчиков и меры личной профилактики.



